媒體中心


向下滚动
葛均波院士團隊成功應用Lux-Valve Plus完成經血管介入三尖瓣置換臨床前研究!
2021-11-14

2021年11月14日星期日,復旦大學附屬中山醫院(以下簡稱中山醫院)葛均波院士團隊成功應用經血管介入三尖瓣置換產品Lux-Valve Plus完成臨床前研究,並獲得圓滿成功! 此次研究的成功預示經血管三尖瓣產品Lux-Valve Plus已完成臨床前準備,即將開啟後期的正式臨床研究!

 

 

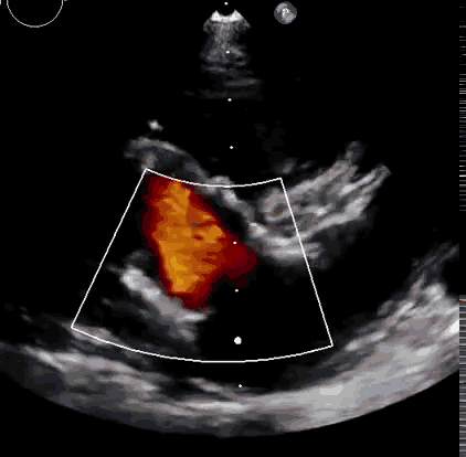
上海中山醫院葛均波院士、錢菊英院長、周達新教授、潘文志教授、潘翠珍教授、李偉教授共同完成此次臨床前研究。 術後葛均波院士對Lux-Valve Plus的器械操作效能給予了高度評價,DSA和超聲影像也顯示出在本次研究中Lux-Valve Plus的安全性和有效性俱佳。

 

 

本次臨床前研究經右側頸靜脈置入LuX-Valve Plus輸送系統可調彎鞘管,在DSA及超聲引導下將人工三尖瓣瓣膜植入到原有三尖瓣位置,利用獨特的錨定科技將人工瓣膜支架固定在預定的位置。

 

图片

图片

图片

 

此次研究的成功預示經血管三尖瓣產品Lux-Valve Plus已完成臨床前準備,即將開啟後期的正式臨床研究!

 

图片

图片

 

Lux-Valve是全球款具有我國自主知識產權的經導管介入三尖瓣置換系統,利用前瓣夾持及室間隔錨定的複合管道進行瓣膜裝置的固定,不依賴瓣環徑向支撐力,同時採用自我調整複合裙邊資料,有效的貼合密封柔軟的三尖瓣瓣環,針對於三尖瓣返流的患者有優异的療效。 Lux-Valve Plus採用全新的經血管輸送系統,經頸靜脈入路創傷更小,可以進一步降低手術風險。 相信在後期正式臨床研究開展中,Lux-Valve Plus會為更多的三尖瓣返流患者帶來福音。