近期,通遼市人民醫院在中國醫學科學院阜外醫院潘湘斌院長團隊的指導下,由王旭主任、邵志遠主任團隊,在全超聲、無射線條件下,成功完成內蒙古自治區首例純超聲引導下經導管主動脈瓣置換術,這也是通遼地區首例經心尖路徑實施的TAVR手術。
該手術在不依賴X線透視的情況下完成,對術者的影像判斷與操作協同提出了更高要求,標誌著通遼市人民醫院在結構性心臟病微創介入治療及超聲引導技術應用方面取得了重要突破。
在充分的術前評估和個體化方案指導下,手術過程順利,術中血流動力學穩定,術後主動脈瓣反流得到有效糾正,為解剖結構複雜、傳統外科手術風險較高的主動脈瓣反流患者提供了安全、可行的微創治療新選擇。
患者基線
患者男性,主訴陣發性胸悶、心悸1年,近6個月加重。患者1年前無明顯誘因出現陣發性胸悶、心悸症狀,每次持續約10分鐘後緩解;6個月前症狀加重,並伴肩背部疼痛,每次持續約10–20分鐘後緩解。20天前於門診就診,心臟超聲提示主動脈瓣鈣化伴大量反流。近日患者再次出現胸悶、氣短症狀,為進一步治療入院。既往史包括高血壓病史4年、陳舊性腦梗死、膽囊切除術後1年。入院診斷為:主動脈瓣重度關閉不全、高血壓3級(極高危)、冠狀動脈粥樣硬化性心臟病。心臟超聲檢查提示:主動脈瓣鈣化,右冠瓣脫垂伴重度關閉不全,主動脈瓣口血流速度增快,合併輕度二尖瓣及三尖瓣反流。冠狀動脈造影檢查結果顯示:左主幹正常,前降支未見明顯狹窄病變,回旋支散在斑塊,右冠狀動脈未見明顯狹窄病變。
術前評估
術前CT評估提示,患者主動脈瓣為三葉瓣,瓣葉增厚。舒張期可見右冠瓣脫垂,右冠瓣瓣葉輕度鈣化。存在三個瓣竇,分佈較為均勻。主動脈瓣環周長折算直徑為28.0 mm;左心室流出道(LVOT)周長折算直徑為29.5 mm,未見鈣化及狹窄。主動脈竇管交界(STJ)直徑為35.3 mm,升主動脈直徑為41.8 mm。冠狀動脈開口高度如下:左冠狀動脈(LCA)13.5 mm,瓣葉長度17.2 mm;右冠狀動脈(RCA)33.9 mm,瓣葉長度10.0 mm。左側冠狀動脈見輕度鈣化。心臟呈橫位心,左心室與主動脈夾角為135°。



術中回顧
在超聲引導下,手術團隊高效且精準地完成了瓣膜的定位、釋放及功能評估。手術過程順利,夾持件入竇與定位一氣呵成,三枚夾持件的釋放與錨定位置均與術前評估完全一致,器械操作時間約5分鐘。術中超聲評估顯示無瓣周漏,血流動力學表現穩定,手術順利完成。
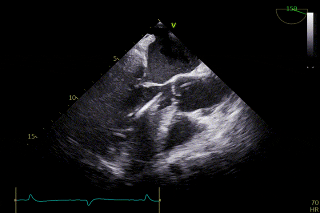
術前超聲
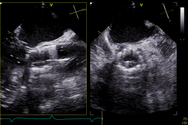
輸送器跨瓣
打開定位件
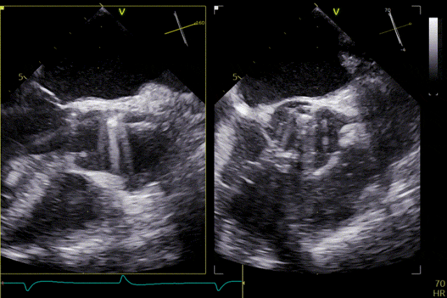
定位件入竇
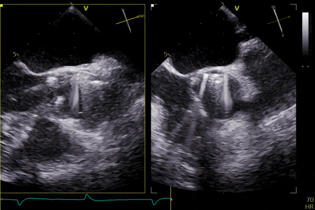
瓣膜釋放
術後效果
患者主動脈瓣重度反流得到糾正,術後無反流、無瓣周漏。術後心臟超聲顯示人工生物瓣啟閉功能良好,平均跨瓣壓差2 mmHg,血流速度正常。患者恢復情況良好,心功能較術前明顯改善。
總結
Ken-Valve是一款專為主動脈瓣關閉不全(或合併狹窄)患者設計的TAVR產品,其多規格設計及大尺寸覆蓋優勢,可適配23 mm至33 mm的瓣環範圍,填補了大瓣環反流患者治療領域的產品空白。Ken-Valve在設計上融合多項關鍵技術,其中一體式夾持定位件設計可提供穩定可靠的錨定力,有助於在無鈣化或鈣化不足的解剖條件下實現安全固定;防漏裙邊設計則有望降低術後瓣周漏的發生率。值得一提的是,Ken-Valve採用獨特專利抗鈣化處理的牛心包瓣葉,在生物相容性與機械強度方面表現優異,具備良好的長期耐久性。此外,可調彎輸送系統亦可滿足更複雜的入路條件,確保瓣膜精準釋放。
通遼市人民醫院首例全超聲、無射線條件下經導管主動脈瓣反流介入手術的成功完成,不僅為複雜主動脈瓣反流患者提供了安全、有效的微創治療新選擇,也標誌著該院在結構性心臟病介入治療及超聲引導技術應用方面邁上新台階。
在傳統心血管介入治療中,對放射線與造影劑的依賴帶來醫源性損傷風險、技術門檻高、空間影像資訊受限及大型設備依賴強等問題。為改善上述限制,阜外醫院結構性心臟病團隊經多年探索,建立了以「可視化、定位、定向」為核心的純超聲引導介入技術體系——PAN術式。PAN術式的應用不僅降低射線暴露及造影劑相關風險,也推動介入治療由「重設備、重依賴」向「輕介入、更普惠」轉型。透過流程優化與技術整合,該技術可在無需大型影像設備的條件下完成複雜介入操作,為提升治療安全性、擴大可及性及推動基層能力建設提供了新的路徑。
聲明
本文披露內容僅供學術交流之用,在任何情況下均不得被視為醫療建議。本公司對所有原創、轉載及分享內容的準確性、完整性或時效性不作任何陳述或保證。
文中所涉數據僅供參考,不構成任何建議、推薦、要約或邀請。本材料基於公開信息、內部開發數據及其他被認為可靠的第三方資訊編寫,但不保證其完全可靠性。所有觀點與看法均基於撰寫當日之判斷,並可能在不另行通知的情況下隨時調整。
本文所提及的任何醫療器械,本公司對其在診療活動中的性能及臨床表現等不作任何承諾或保證。